
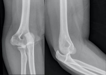
The elbow is a synovial hinge joint and posterior dislocation of the ulna relative to the distal humerus is the most common type of dislocation, with the coronoid process of the ulna moving posteriorly away from the humeral trochlear. The mechanism of injury includes a combination of axial loading, supination and, valgus (forearm moving away from midline) forces. A fall onto the out-stretched hand with the elbow extended will do the trick.

The elbow is a synovial hinge joint and posterior dislocation of the ulna relative to the distal humerus is the most common type of dislocation, with the coronoid process of the ulna moving posteriorly away from the humeral trochlear. The finishing position leaves the coronoid process sitting behind the olecranon fossa at the posterior aspect of the lower humerus. Less common is a lateral dislocation where the ulna finishes sitting lateral to the lateral epicondyle.

This ranges from 5-25 degrees varies according to sex (F>M), age, forearm length (smaller angle with longer forearm), age and dominance (dominant arm angle greater in children, lesser in adults). The angle you are aiming for at the point of relocation will depend upon the body in front of you. A tall adult male with long forearms and a dominant side dislocation may have a normal carrying angle of 5-10 degrees, while a short adult female with a non-dominant dislocation may be closer to 20-25.

All patient should have X-rays prior to a reduction technique as there is a high incidence of associated injuries (10-15%). These include coronoid and radial head fractures, and lateral collateral ligament tears.

This can be done with a single or 2 person operator technique.
The advantages of two people are that this gives you more control over the ‘push’ component and doesn’t require large hands to wrap around the elbow.
See carrying angle section above to optimise target reduction position. (Thanks to Nick Farebrother for expert assistance as always).

This demonstration of a single person technique shows a patient who is cooperative but not necessarily pain free. Note how the technique will not work until he removes his R hand from the L forearm, relinquishing control and relaxing. The aim is not to reduce the elbow without drugs, but to provide the best care possible for the patient in front of you. Explain that the reduction attempt is designed to relieve pain and gently relocate the elbow, but if too painful then the plan is to stop and switch to analgesia/sedation. Work with the patient and 'prepare to fail' with a plan B.

The aim is to move the ulna (trochlear notch) around the fixed humerus (trochlea). The proximal ulna needs to move inferiorly (down), anteriorly (forwards), and medially (inwards).
This is achieved by the following 2 person technique.
Remember to obtain the desired position before any force is applied.

Grip upper arm with both hands allowing control across the anterior aspect of the lower humerus and the ability to push the olecranon from behind. This can be done either with thumbs behind and fingers across front of lower humerus or, fingers behind/below and thumbs in front.
Example position for a right sided dislocation - the operator’s left hand would have fingers across the anterior lower humerus with a posteriorly applied fixing hold. The operator’s right hand would have fingers across the upper aspect of the proximal humerus (inferiorly applied fixing hold) and thumb immediately behind the olecranon.

The coronoid process needs to move downwards. This is achieved via a combination of:
- Elbow flexion. Gently raise hand to position of elbow flexion – 90 degrees, valgus 10-20 degrees. Supinate, holding hand in “handshake” position. Moving to a slightly more flexed angle than 90 degrees and then back to 90 helps to dislodge the coronoid process from the lateral epicondyle.
- Relaxation of muscles pulling ulna/radius superiorly. This is mainly triceps/biceps and can be done either with conscious relaxation or sedation.
- Direct application of steady pressure to proximal forearm from above. This may not be required once sedation is given as the muscles relax and the ulna sits lower.

This is a combination of push and pull aiming for minimum force to achieve reduction, remembering that any force should only be applied once in the correct position.
Push – the operator’s thumb should be placed behind the olecranon and provide anterior force to allow the coronoid process to move forwards past the lateral epicondyle and then slide medially past the capitulum into the trochlear notch.
Pull – only enough to allow the olecranon to slide forwards when released. Not trying to force it to dislodge.lding hand in “handshake” position. Moving to a slightly more flexed angle than 90 degrees and then back to 90 helps to dislodge the coronoid process from the lateral epicondyle.
- Relaxation of muscles pulling ulna/radius superiorly. This is mainly triceps/biceps and can be done either with conscious relaxation or sedation.
- Direct application of steady pressure to proximal forearm from above. This may not be required once sedation is given as the muscles relax and the ulna sits lower.

This is a combination of push and pull aiming for minimum force to achieve reduction, remembering that any force should only be applied once in the correct position.
Push – the operator’s thumb should be placed behind the olecranon and provide anterior force to allow the coronoid process to move forwards past the lateral epicondyle and then slide medially past the capitulum into the trochlear notch.
Pull – only enough to allow the olecranon to slide forwards when released. Not trying to force it to dislodge.lding hand in “handshake” position. Moving to a slightly more flexed angle than 90 degrees and then back to 90 helps to dislodge the coronoid process from the lateral epicondyle.
- Relaxation of muscles pulling ulna/radius superiorly. This is mainly triceps/biceps and can be done either with conscious relaxation or sedation.
- Direct application of steady pressure to proximal forearm from above. This may not be required once sedation is given as the muscles relax and the ulna sits lower.

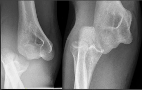
Case example - 20 year old female fell 2m onto crash mat in gym. Elbow in flexion, hand/wrist impact on mat.
XR image shows lateral, AP and oblique views.
We use cookies to analyze website traffic and optimize your website experience. By accepting our use of cookies, your data will be aggregated with all other user data.